Korrektur von Zahnfehlstellungen
Zahnfehlstellungen können in jedem Alter reguliert werden. Da erwachsene Patienten Wert auf eine unauffällige Behandlung legen, werden für die Therapie festsitzende Zahnspangen mit zahnfarbenen Brackets und Drähten oder herausnehmbare transparente Schienen benutzt.

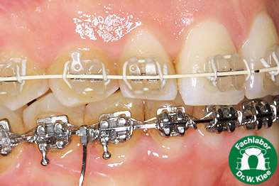
Feste Spange
Kleine Halteplättchen, so genannte Brackets, werden auf die Zähne geklebt und mit einem Spanndraht verbunden, damit die Zahnfehlstellung im Laufe der Zeit ausgeglichen wird. Um die Zahnspange besonders unauffällig zu gestalten werden zahnfarbene Brackets verwendet.
Die Tragedauer hängt von der Fehlstellung der Zähne ab und dauert ca. 6 Monate. Die Drähte werden dabei in regelmäßigen Abständen neu gespannt, bis die gewünschte Zahnstellung erreicht ist.

Aesthetic Liner: Unsichtbare Schiene
Eine äußerlich extrem unauffällige Variante ist die Aesthetic Liner Schiene. Sie besteht im Wesentlichen in der Verwendung herausnehmbarer, transparenter Schienen.
Alle zwei Wochen wird eine neue Schiene eingesetzt, um die Korrektur der Zahnstellung fortzusetzen.
Die Schiene ist nahezu unsichtbar so dass man nicht merkt, dass Sie sich gerade Ihre Zähne richten lassen.